1254 Irvine Blvd #260, Tustin
, CA
92780
,
United States
randi@createsmiles.com
Call Us:
714-838-0760
Home
Our Office
Our Team
Dr Brad
Randi, Office Manager
Lupe, Dental Assistant
Nicole, Dental Assistant
Brittnee, Dental Hygienist
Mission Statement
Dental Technology
Our Services
Arch Development
Crowns
DNA Appliance
Epigenetic Orthodontics
Extractions
Gum Recession
Implants
Invisalign®
Myobrace®
Orthodontics
Pediatric Dentistry
Periodontal Disease
Pinhole Surgical Technique
Preventive Dentistry
Root Canals
Sleep Apnea
Teeth Whitening
TMJ
Veneers
First Visit
FAQ
Payment Options
Forms
Home Care
At Home Whitening
Patient Care of Implants
Post-Care Oral Surgery
PST Post-op Instructions
Gallery
Office Tour
Before and After
Contact
Request an Appointment
Blog
Before and After
Home
/
Before and After
Arch Development
Before
After
Learn More
Chao Pinhole Surgical Technique
Learn More
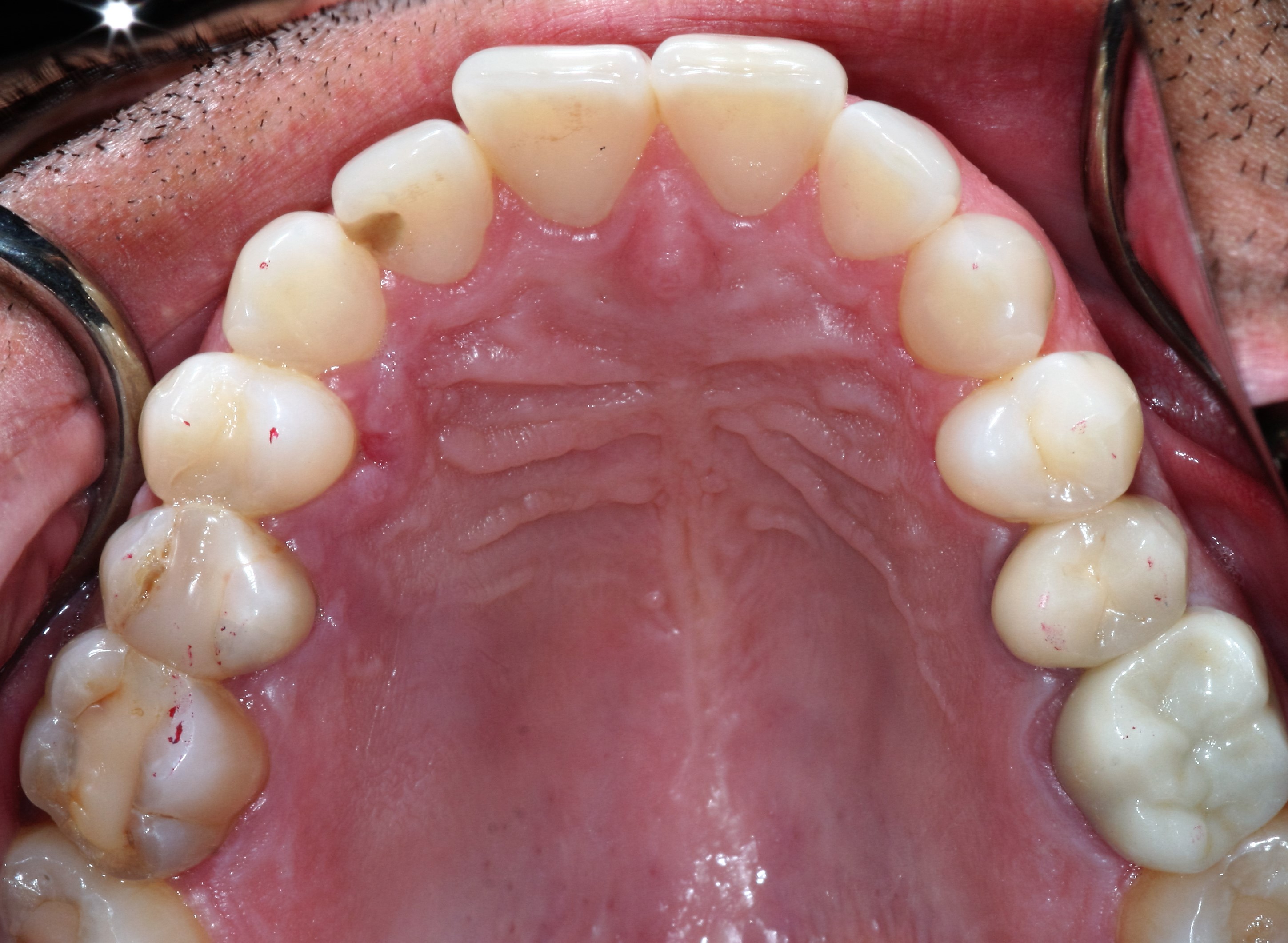
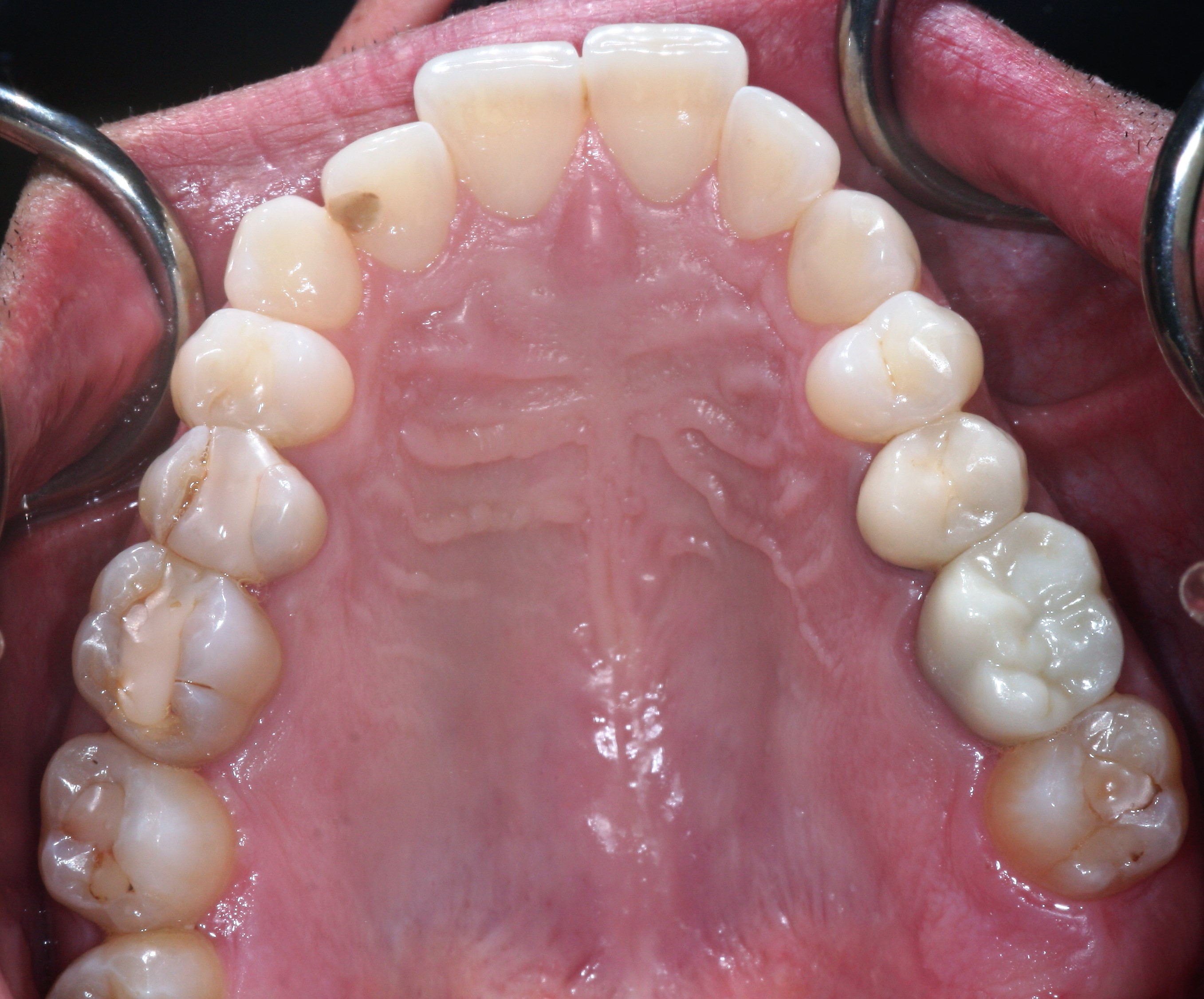
Crowns
Before
After
Before
After
Learn More
White Fillings
Before
After
Learn More