Almost every day I am asked by patients if bicuspid extractions are necessary before they can have braces. My reply is always the same: “almost never.” Why is it that many orthodontists recommend extracting bicuspid teeth before placing braces? The simple answer is that is how they were taught to do orthodontics. But is there a better way? I believe strongly that there is and this belief has caused a lot of disagreement with orthodontists over the years.
What is the real truth? What options are there for straightening overly crowded teeth? There are three options when space is needed in order to straighten teeth: 1. extract teeth, 2. slenderize teeth, or 3. enlarge the dental arches. I believe the options are listed in reverse order of preference. Why would you choose to extract otherwise healthy teeth if the job can be done without extracting any teeth? The reason orthodontists are taught to extract bicuspids in order to create necessary space to straighten teeth is because they were also taught that it is impossible to enlarge dental arches on a patient that is no longer growing. In other words, it is impossible to enlarge the dental arches of adults; therefore, the only viable option is bicuspid extractions. This too is what I was taught in dental school; fortunately, I have learned a better way after dental school. I learned that enlarging dental arches is very much possible on adult patients and for the past 20+ years I have been successfully enlarging adult dental arches.
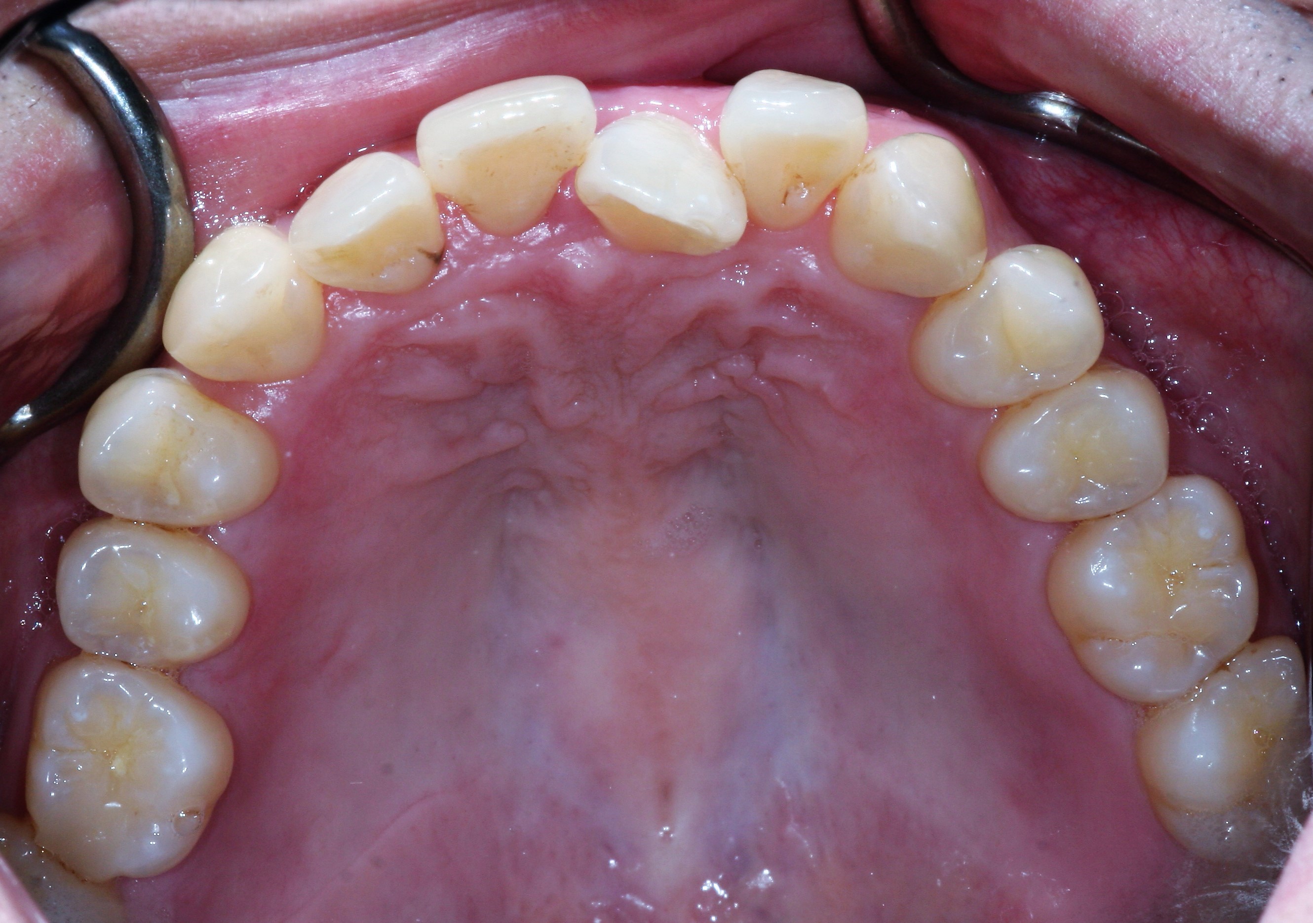
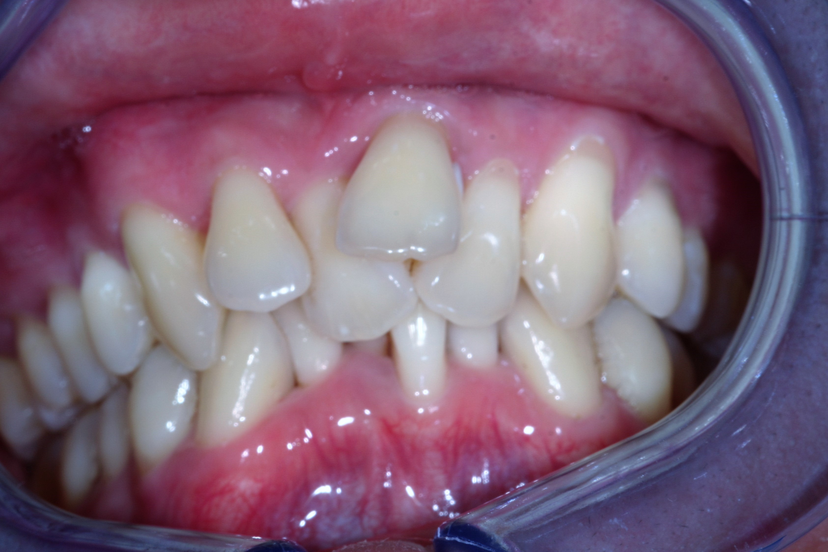
Consider the following example. I’m sure we can all agree that this 34-year-old male patient has severe dental crowding (see images #1 and #2). I think we can also agree that at age 34 this patient is no longer growing. He came to my office a couple of years ago completely out of options. He told me he had gone to see multiple orthodontists who all wanted to extract bicuspid teeth. He wanted to believe that there was a better way, so he continued to search until he found our office. I told him I had never treated such an extreme case but was willing to try. It took almost two years but I’m pretty sure even the most hardened orthodontist can accept that something quite miraculous has occurred (see images #3 and #4).
Obviously, my new friend is not finished with treatment but we can now place braces on his teeth and straighten all of his teeth without having sacrificed four healthy teeth. Some people might say that extracting four bicuspids would allow a patient to finish treatment and thus enjoy straight teeth far sooner than if arch expansion is performed instead of teeth extractions. In the extreme case I have just presented that may have been true, although we will never know for sure, but what I do know is that for the typical case, bicuspid extraction treatment takes considerably longer than arch development treatment. The typical arch development case takes 12-18 months to finish vs. most bicuspid extraction cases take 24+ months to complete.
Time is the least of the advantages of arch development vs. bicuspid extraction. More significant advantages of arch development over bicuspid extraction are: preservation of healthy teeth, broader, more beautiful final smile, better facial aesthetics, better lip support, healthier TMJ, and healthier airway.
If you are considering bicuspid extraction orthodontics, PLEASE find a doctor who understands the relationship of tooth movement to facial aesthetics, TMJ health and airway health BEFORE you remove any of your teeth. See if arch development may not be a better option for you. If you are anywhere near Southern California or Utah I would be more than happy to give you a consultation to see if you might be able to save four healthy teeth while still having a beautiful broad smile, enhanced facial aesthetics, healthy TMJ and healthy airway. Call Randi 714-838-0760 to schedule your consultation.
Update to this blog: Images #5 and #6 added showing patient in braces, as well as the upper dental arch after braces were placed on the teeth. Final images soon to come.





